
case矯正治療例
Overviewあなたのお悩みと似た症例を
探してみてください
当院での矯正治療例をご紹介します。パソコンやタブレットなどの場合は画面右側、スマホの場合は画面下部に表示の「絞り込み」にて、年齢別/お悩み(症例)別/治療方法(装置等)別での表示が可能です。

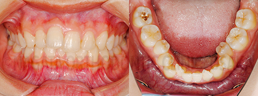
インビザラインによるマウスピース矯正 お悩み歯ならびがガタガタ

インビザラインによるマウスピース矯正
主訴 歯ならびがガタガタ(叢生) 治療費 100万円(税抜き) 治療期間 18ヶ月 性別 女性 装置 マウスピース矯正・インビザライン・非抜歯 関連リンク マウスピース矯正 治療前
装着写真
治療後
骨格や口元のバランスは良好であったため非抜歯・インビザラインで治療を行いました。 必要に応じて隣接面スライスカットを行い、奥歯のかみ合わせを整えるために透明ボタンと顎間ゴムも併用しています。 治療後は前歯の叢生が改善し、かみ合わせも緊密に整いました。イメージ動画歯の動きがイメージしやすいようAI等を用いて動画化したものです。実際の歯列や歯の動きを正確に表現しているものではありません。リスク・副作用 - 装置交換当日から2−3日、噛み合わせると違和感がある場合がある

アンカースクリューを併用したワイヤー矯正 お悩み歯ならびがガタガタ・口ゴボ・あごが小さい

アンカースクリューを併用したワイヤー矯正
主訴 歯ならびがガタガタ(叢生)・口ゴボ(上下顎前突)・あごが小さい 治療費 100万円(税抜き) 治療期間 36ヶ月 性別 女性 装置 ワイヤー矯正・矯正用アンカースクリュー・デーモンシステム・ホワイトワイヤー・抜歯あり 関連リンク ワイヤー矯正 治療前
装着写真
仕上がり
スペース不足による叢生と前歯の前突が認められました。 上下左右1本ずつの抜歯でスペースを確保し、セルフライゲーションブラケットとアンカースクリューを用いて効率的に歯を後方へ移動しました。 歯ならびとかみ合わせが整い、自然に口を閉じやすくなり、横顔のバランスも改善しました。リスク・副作用 - 装置により頬の内側に傷がついたり、口内炎ができる可能性がある。
- 装置装着やワイヤー交換後に痛みを感じることがある。
- 発音しづらい場合がある。
- 丁寧な歯みがきができないと虫歯になる可能性がある。

ムーシールド お悩み[幼児]上下のかみ合わせが逆

ムーシールド
主訴 [幼児]上下のかみ合わせが逆 治療費 10万円(税抜き) 治療期間 12ヶ月 性別 男性 装置 ムーシールド 関連リンク 乳幼児期の反対咬合(ムーシールド) 治療前
治療中
仕上がり
全てが乳歯の3歳10ヶ月時に前歯の反対咬合がみられたためムーシールドを用いて治療を行いました。この装置は歯に強い力をかけるのではなく、舌が歯の裏を押す癖や位置を整えることで自然な改善を促します。使用を続けることで舌の位置も安定し適切な噛み合わせが得られました。イメージ動画歯の動きがイメージしやすいようAI等を用いて動画化したものです。実際の歯列や歯の動きを正確に表現しているものではありません。リスク・副作用 - 装置交換当日から2~3日、噛み合わせると違和感がある。
- 永久歯萌出後、逆の噛み合わせになることがあり、経過観察が必要。

裏側への装着で目立たないリンガル矯正 お悩み出っ歯

裏側への装着で目立たないリンガル矯正
主訴 出っ歯(上顎前突) 治療費 146万円(税抜き) 治療期間 30ヶ月 性別 女性 装置 リンガル矯正・矯正用アンカースクリュー・抜歯あり 関連リンク リンガル矯正 治療前
治療中
仕上がり
出っ歯で口元が閉じにくい状態でした。 歯の裏側につけるリンガル矯正のため、表からは全く見えません。 アンカースクリューを併用し、前歯を後ろへ下げて口元のバランスを整えました。治療後は自然に口が閉じやすくなり、横顔もすっきりしました。イメージ動画歯の動きがイメージしやすいようAI等を用いて動画化したものです。実際の歯列や歯の動きを正確に表現しているものではありません。リスク・副作用 - 装置交換当日から2−3日、噛み合わせると違和感(歯が浮いたような感じ、噛むと痛い)がある
- 数日、歯がしみることがある
- 歯根吸収の可能性、骨レベル低下の可能性、虫歯の可能性がある

外科的矯正治療 お悩み歯ならびがガタガタ

外科的矯正治療
主訴 歯ならびがガタガタ(叢生)・前歯がかみ合わない(開咬) 治療費 保険治療(矯正概算30万円、入院手術を入れて40万円から50万円) 治療期間 36ヶ月 性別 女性 装置 外科的矯正治療・矯正用アンカースクリュー・抜歯あり 関連リンク アンカープレート・外科的矯正治療 治療前
装着写真
装着後1回目
装着後2回目(術後)
仕上がり
著しい叢生と前歯が噛み合わない開咬、またあごの後退が認められ骨格的な改善が必要と判断し外科的矯正治療を計画しました。 上下左右の第一小臼歯を抜歯し、約1年半の術前矯正を行い手術に適した歯列をつくります(写真3枚目)。 その後外科手術にて上顎の骨を後方に、下顎は前方に移動、オトガイの形態も整えました(写真4枚目)。術後は顎を固定し、徐々に安定させていきます。 治療後は開咬と叢生が改善し、しっかり噛める歯ならび・バランスの取れた口元となりました。リスク・副作用 - 装置交換当日から2-3日、噛み合わせると違和感(歯が浮いたような感じ、噛むと痛い)がある。
- 数日、歯がしみることがある。
- 歯根吸収の可能性、骨レベル低下の可能性、虫歯の可能性がある。
- 全身麻酔のリスク、出血が多くなると輸血の可能性、術後の痺れ、術後1週間の顎間固定、それ以降3ヶ月間ぐらいの顎間ゴム固定が必要。

アンカープレートを用いた矯正治療 お悩み前歯がかみ合わない

アンカープレートを用いた矯正治療
主訴 前歯がかみ合わない(開咬)・口ゴボ(上下顎前突) 治療費 110万円(税抜き) 治療期間 36ヶ月 性別 女性 装置 矯正用アンカープレート・ワイヤー矯正・クリッピー・抜歯あり 関連リンク アンカープレート 治療前
装着写真
治療後
口が閉じにくく前歯で噛めない状態で、外科的矯正治療も選択肢にありましたがアンカープレートを用いた矯正治療を選択。上顎に埋入したアンカープレートを固定源に前歯を後方へ移動しました。治療後は前歯で噛めるようになり、口元のバランスも改善しました。リスク・副作用 - 装置交換当日から2−3日、噛み合わせると違和感(歯が浮いたような感じ、噛むと痛い)がある
- 数日、歯がしみることがある
- 歯根吸収の可能性、骨レベル低下の可能性、虫歯の可能性
- アンカープレートは不潔にすると腫れやすい

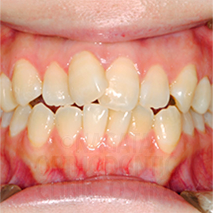
マウスピース矯正(インビザライン) お悩み歯のねじれ・歯ならびがガタガタ

マウスピース矯正(インビザライン)
主訴 歯のねじれ・歯ならびがガタガタ 治療費 100万円(税抜き) 治療期間 36ヶ月 性別 女性 治療前
治療中
治療後
インビザラインによるマウスピース矯正の症例です。透明なマウスピースを定期的に交換しながら歯を少しずつ動かしていきます。 治療前は歯ならびに乱れがありましたが、10ヶ月ほどで前歯のねじれが改善し始めました。3年ほどで歯ならびが整い、笑顔の印象も自然になりました。リスク・副作用 - 装置交換当日から2−3日、噛み合わせると違和感がある場合がある
- 使用時間が短いと適正な動きをしない
- まれに歯根が短くなったり歯肉の退縮が起こることがある

外科的矯正治療 お悩みあごの左右ずれ、受け口

外科的矯正治療
主訴 あごの左右ずれ、歯ならびがガタガタ、受け口 治療費 保険治療(矯正概算30万円、入院手術を入れて40万円から50万円) 治療期間 36ヶ月 性別 女性 治療前
術前矯正
術後矯正
仕上がり
歯の中心が上下で合わないあごのずれ、前歯がかみ合わないことを主訴に来院されました。矯正治療に加え上下あごの同時手術を行い、かみ合わせと口元のバランスを整えました。治療後は前歯でもしっかり咬めるようになり、正面からの見た目も改善しました。リスク・副作用 - 装置交換当日から2-3日、噛み合わせると違和感(歯が浮いたような感じ、噛むと痛い)がある。
- 数日、歯がしみることがある。
- 歯根吸収の可能性、骨レベル低下の可能性、虫歯の可能性がある。
- 全身麻酔のリスク、出血が多くなると輸血の可能性、術後の痺れ、術後1週間の顎間固定、それ以降3ヶ月間ぐらいの顎間ゴム固定が必要。

子どもの成長期を利用したワイヤー矯正 お悩み出っ歯(上下顎前突)

子どもの成長期を利用したワイヤー矯正
主訴 出っ歯(上下顎前突)、口が閉じにくい 治療費 96万円(アンカースクリュー2本含む) 治療期間 31ヶ月 性別 女性 装置 アンカースクリュー 治療前
治療中
治療後
比較
子どもの成長期はあごや歯の動きに柔軟性があるため、大人になってからでは手術が必要になるような症例でも、矯正治療だけで改善できることがあります。こちらの患者さんも口が閉じにくく出っ歯の状態でしたが、12才の成長期に矯正をスタートしたことで歯ならびと口元のバランスが整い、自然な横顔になりました。成長期の限られた時期を活かした治療は将来の負担を減らす大切なポイントです。リスク・副作用 - 装置交換当日から2-3日、噛み合わせると違和感(歯が浮いたような感じ、噛むと痛い)がある。
- 数日、歯がしみることがある。

外科的矯正治療 お悩みガミースマイル

外科的矯正治療
主訴 ガミースマイル 治療費 保険治療(矯正概算30万円、入院手術を入れて40万円から50万円) 治療期間 36ヶ月 性別 女性 治療前
治療中(術前)
治療後
比較
笑ったときに歯ぐきが大きく見える「ガミースマイル」と、下あごが後ろに下がっている、口元が突出していることを気にして来院されました。矯正治療に加え、外科的な処置も行って治療を進め、歯ならびやかみ合わせを整えつつ口元と横顔のバランスを改善しました。治療後は自然な笑顔になり、印象も大きく向上しました。リスク・副作用 - 装置交換当日から2-3日、噛み合わせると違和感(歯が浮いたような感じ、噛むと痛い)がある。
- 数日、歯がしみることがある。
- 歯根吸収の可能性、骨レベル低下の可能性、虫歯の可能性がある。
- 全身麻酔のリスク、出血が多くなると輸血の可能性、術後の痺れ、術後1週間の顎間固定、それ以降3ヶ月間ぐらいの顎間ゴム固定が必要。
※治療例はあくまで各症例に対するものであり、症状により治療に適した装置・治療期間・治療経過は異なります。詳しくはカウンセリングにてご相談下さい。
※外科的矯正治療を除き、原則として保険適用外の自由診療となります。掲載されている価格に別途消費税がかかります。
絞り込み
- 年齢
- お悩み(症例)別
- 治療方法(装置等)別
© Nagata Orthodontic Clinic.